Inman Aligner in Melbourne at Q1 Dental
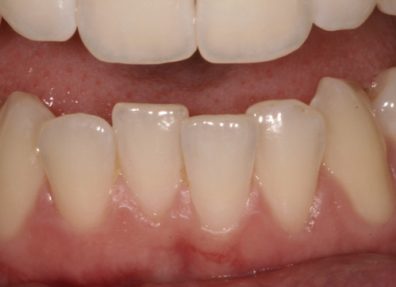
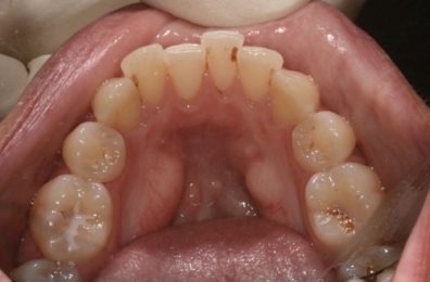
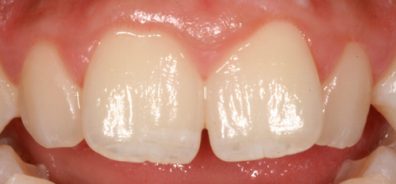
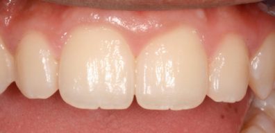
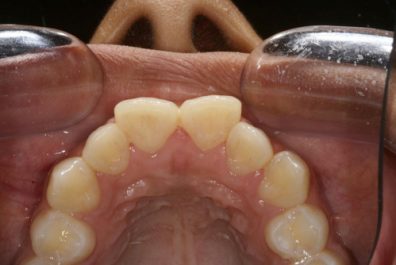
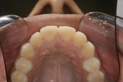
Q1 Dental is a certified Inman Aligner dentist in Melbourne. Inman Aligner is dubbed as the “12 Week Wonder Brace” and we are here to prove its amazing results and benefits. Moreover, it’s one of the most breakthroughs of recent years and a great alternative to other expensive orthodontic options. To know if you are a good candidate for Inman Aligner, visit your Melbourne dentist at Q1 Dental today. Our dental professionals are ready to change your life by providing you with premium solutions and the highest quality of dental care service.
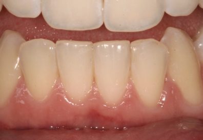
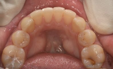
Learn more about Inman Aligner and how it can change your smile from crowded to fantastic. For more information, contact Q1 Dental in Melbourne today or book your appointment online to claim your FREE Consultation on Inman Aligners.












